Açıklama
Alanya Ortodonti Kliniği – Dr. İbrahim Kuzucu & Dr. Kübra Kuzucu | Alanya’da Estetik ve Sağlıklı Gülüşler
Alanya’da Modern Ortodonti ve Güvenilir Hizmet
Alanya, Türkiye’nin sağlık turizmi alanında hızla büyüyen şehirlerinden biri olarak, ortodonti ve diş hekimliği alanında birçok modern klinik hizmeti sunmaktadır. Alanya Ortodonti Kliniği, Dr. İbrahim Kuzucu ve Dr. Kübra Kuzucu önderliğinde, hem estetik hem de fonksiyonel açıdan sağlıklı gülüşler yaratmayı hedefleyen öncü bir kliniktir.
Kliniğin temel amacı, her yaştan hastaya güvenli, ağrısız ve etkili ortodontik tedavi sunarak, düzgün diş dizilimi ve estetik gülüşler sağlamaktır. Modern teknolojiler ve kişiye özel tedavi planları ile Alanya’da güvenilir bir ortodonti merkezi olarak öne çıkar.
1. Alanya Ortodonti Kliniği Hakkında
Alanya Ortodonti Kliniği, alanında uzman kadrosu ile hizmet veren ve hasta memnuniyetini ön planda tutan bir sağlık kuruluşudur. Dr. İbrahim Kuzucu ve Dr. Kübra Kuzucu, yılların deneyimi ile hastalarına kaliteli ve güvenilir tedavi sunar.
Uzmanlık Alanları
- Metal ve seramik braket uygulamaları
- Şeffaf plak tedavisi (Invisalign)
- Çapraşık diş tedavileri
- Diş kapanış problemleri (maloklüzyon)
- Çocuk ortodontisi
- Ergen ve yetişkin ortodontik tedaviler
Her hastaya özel, kapsamlı ve bilimsel tedavi planı hazırlanır.
2. Klinik Misyonu ve Vizyonu
2.1 Misyon
Alanya Ortodonti Kliniği’nin misyonu, estetik ve fonksiyonel olarak doğru diş dizilimini sağlayarak hastalarına sağlıklı bir gülüş kazandırmaktır.
2.2 Vizyon
Kliniğin vizyonu, modern teknolojiyi kullanarak, uluslararası standartlarda ortodontik tedavi sunmak ve Alanya’da referans klinik olmaktır.
3. Alanya Ortodonti Kliniği’ni Tercih Etmenin Avantajları
3.1 Modern Teknoloji ve Donanım
- Dijital panoramik ve 3D röntgen cihazları
- CAD/CAM destekli ortodontik planlama
- Şeffaf plak üretimi ve uygulama teknolojileri
- İntraoral kamera ile detaylı inceleme
3.2 Kişiye Özel Tedavi Planı
Her hastanın ağız ve çene yapısı farklıdır. Klinik, her hastaya özel ve detaylı tedavi planları hazırlar.
3.3 Ağrısız ve Konforlu Tedavi
Modern anestezi ve hassas uygulama teknikleri ile tedaviler minimum rahatsızlıkla gerçekleştirilir.
3.4 Estetik ve Fonksiyonel Sonuçlar
Dişlerin dizilimi ve kapanışı, hem estetik hem de fonksiyonel açıdan optimize edilir.
3.5 Steril ve Hijyenik Ortam
Poliklinik, uluslararası hijyen standartlarına uygun çalışmakta ve tüm ekipmanlar titizlikle sterilize edilmektedir.
4. Sunulan Ortodontik Tedaviler
4.1 Metal Braket Uygulamaları
- Geleneksel yöntemlerle etkili ve güvenilir sonuç
- Dayanıklı ve uzun ömürlü malzeme
- Tüm yaş gruplarına uygun
4.2 Seramik Braket Uygulamaları
- Diş rengi ile uyumlu, estetik braketler
- Görünürlüğü azaltılmış ve şık tasarım
- Yetişkin hastalar için ideal seçenek
4.3 Şeffaf Plak Tedavisi (Invisalign)
- Şeffaf ve çıkarılabilir plaklar ile estetik tedavi
- Günlük yaşamda konfor ve rahatlık
- Dijital tarama ve kişiye özel üretim
4.4 Çocuk Ortodontisi
- Çocukların çene gelişimine uygun erken müdahale
- Süt dişi ve kalıcı diş takibi
- Ağız hijyeni ve alışkanlık eğitimi
4.5 Yetişkin Ortodontisi
- Erken müdahale fırsatı olmayan yetişkinler için özel planlama
- Estetik ve fonksiyonel tedavi seçenekleri
- Uzun ömürlü ve etkili sonuç
5. Ortodontik Tedavi Süreci
5.1 İlk Muayene ve Değerlendirme
- Diş ve çene yapısının detaylı incelenmesi
- Dijital röntgen ve tarama ile teşhis
- Kişiye özel tedavi planının hazırlanması
5.2 Tedavi Planlaması
- Braket veya şeffaf plak tercihi
- Tedavi süresi ve seans sayısı belirlenir
- Hastaya tedavi süreci detaylı olarak anlatılır
5.3 Uygulama ve Kontroller
- Braketlerin veya şeffaf plakların yerleştirilmesi
- Düzenli kontroller ile tedavi ilerlemesinin takibi
- Gerektiğinde ayarlamalar ve modifikasyonlar
5.4 Tedavi Sonrası Bakım
- Retainer kullanımı ile dişlerin eski konumuna dönmesinin önlenmesi
- Düzenli check-up ve ağız bakım önerileri
6. Teknolojik Donanım ve Klinik Avantajları
Moon Ortodonti Kliniği, modern cihaz ve ekipmanları ile hastalarına maksimum güvenlik ve konfor sunar:
- 3D tomografi ve dijital panoramik röntgen cihazları
- CAD/CAM destekli braket ve plak planlama
- Lazer destekli diş temizliği ve diş eti tedavisi
- Sterilizasyon ve hijyen standardı
7. Hasta Memnuniyeti ve Referanslar
Kliniğin başarısı, hasta memnuniyetine dayanmaktadır:
- Güler yüzlü ve profesyonel hizmet
- Tedavi öncesi ve sonrası bilgilendirme
- Estetik ve fonksiyonel sonuç garantisi
- Tekrar tercih edilen güvenilir klinik
8. Sık Sorulan Sorular (SSS)
Soru 1: Ortodontik tedavi ağrılı mıdır?
Cevap: Modern uygulamalar sayesinde tedavi büyük ölçüde ağrısızdır.
Soru 2: Tedavi süresi ne kadar?
Cevap: Tedavi tipi ve hastanın ihtiyaçlarına göre değişir, genellikle 12-24 ay arasıdır.
Soru 3: Şeffaf plak her yaş için uygun mu?
Cevap: Evet, yetişkin ve ergen hastalar için uygundur.
Soru 4: Tedavi sonrası dişler eski konumuna döner mi?
Cevap: Retainer kullanımı ile dişlerin konumu stabilize edilir.
9. Alanya’da Sağlıklı ve Estetik Gülüşler
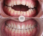
Alanya Ortodonti Kliniği – Dr. İbrahim Kuzucu & Dr. Kübra Kuzucu, Alanya’da güven, estetik ve modern ortodontiyi bir araya getiren öncü bir kliniğe sahiptir. Metal ve seramik braketlerden şeffaf plaklara, çocuk ve yetişkin ortodontisine kadar geniş hizmet yelpazesi sunar. Hem yerli hem yabancı hastalar, estetik ve sağlıklı bir gülüş için klinik tercih etmektedir.
10. BestofAlanya.com
Alanya’da ortodonti klinikleri, diş hekimleri ve sağlık hizmetleri hakkında güncel bilgiye ulaşmak için bestofalanya.com güvenilir bir kaynaktır.
BestofAlanya.com ile:
- En güvenilir işletmeleri keşfedebilir
- Hizmet detaylarını inceleyebilir
- Kullanıcı yorumlarını görebilir
- Alanya hakkında doğru ve güncel bilgilere ulaşabilirsiniz
Alanya’da kaliteli ve güvenilir hizmetler için bestofalanya.com her zaman yanınızdadır.
Pazar: Kapalı
Pazartesi: 09:30–18:30
Salı: 09:30–18:30
Çarşamba: 09:30–18:30
Perşembe: 09:30–18:30
Cuma: 09:30–18:30
Cumartesi: Kapalı
